Οι δερματοπάθειες είναι από τα πιο συχνά περιστατικά στον πάγκο του φαρμακείου, γι’ αυτό θα αναλύσουμε την περίπτωση της ακμής, της ατοπικής δερματίτιδας και του εκζέματος, προκειμένου να έχουμε μια σφαιρική γνώση και να μπορούμε να δώσουμε κάποιες χρήσιμες συμβουλές που θα ανακουφίσουν τον ασθενή μας.
ΑΚΜΗ
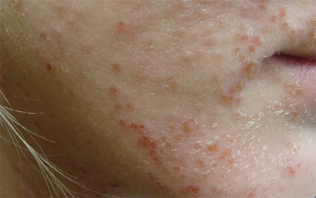
Κύρια Συμπτώματα
Χαρακτηρίζεται από αλλοιώσεις που συνοδεύονται από σμηγματόρροια, κλειστούς ή ανοιχτούς φαγέσωρες αλλά και επιφανειακές φλεγμονώδεις βλάβες (βλατίδες, φλύκταινες) ή βαθιές (οζίδια).
Η ακμή επηρεάζει περίπου το 95% των εφήβων και μπορεί να προσβάλει όλες τις ηλικίες, συμπεριλαμβανομένων των βρεφών.
Τέλος, υπάρχει και η φαρμακογενής ακμή που μπορεί να προκληθεί από ανδρογόνα και προγεστογόνα με ανδρογόνο δράση, ορισμένα αντιεπιληπτικά, το λίθιο, κάποια τοπικά κορτικοστεροειδή…
Διάγνωση
Οι διαφορικές διαγνώσεις περιλαμβάνουν τη ροδόχρου ακμή (βλατιδοφλυκταινώδης δερματοπάθεια του προσώπου που συνοδεύεται με ερύθημα και ευρειαγγείες), την περιστοματική δερματίτιδα (φλεγμονή από χρήση τοπικών κορικοειδών ή ερεθιστικών καλλυντικών) και το κνησμώδες εξάνθημα (βλατιδοφλυκταινώδες εξάνθημα που συχνά συνοδεύεται με κνησμό και οφείλεται στη παρουσία του παράσιτου Demotex μέσα στους φαγέσωρες).
Θεραπεία
Μια σωστή θεραπευτική αγωγή είναι συνυφασμένη με την καλή υγιεινή, με πλύσιμο με ειδικό απαλό καθαριστικό δύο φορές την ημέρα, που ακολουθείται από εφαρμογή της κατάλληλης ενυδατικής κρέμας για δέρματα με τάση ακμής.
Οι τοπικές θεραπείες εφαρμόζονται κυρίως σε περιπτώσεις φλεγμονώδους ακμής, μέτριας ή ελαφριάς μορφής και περιλαμβάνουν:
– Τοπικά αντιβιοτικά (ερυθρομυκίνη, κλινδαμυκίνη).
– Αντιβακτηριδιακές και αντι-φλεγμονώδεις ουσίες όπως το υπεροξείδιο του βενζολίου με δράση κατά του προπιονικού βακτηριδίου της ακμής και ελαφρά κερατολυτική δράση.
– Παράγωγα της όξινης βιταμίνης Α με ισχυρή κερατολυτική δράση (tretinoine).
– Το αζελαϊκό οξύ που έχει αντιβακτηριδιακή δράση και κερατολυτική.
Τα από του στόματος αντιβιοτικά (κυκλίνες) ενδείκνυνται σε περιπτώσεις βαριάς φλεγμονώδους ακμής, όπως η ισοτρετινοΐνη από το στόμα.
Άλατα ψευδαργύρου χρησιμοποιούνται επίσης σε μετρίως φλεγμονώδεις ακμές.

ΑΤΟΠΙΚΗ ΔΕΡΜΑΤΙΤΙΔΑ
Κύρια Συμπτώματα
Η ατοπική δερματίτιδα ή ατοπικό έκζεμα είναι μία παράμετρος του συνδρόμου της ατοπίας, της οποίας ο κίνδυνος εμφάνισης σχετίζεται με την κληρονομικότητα.
Χαρακτηρίζεται ως χρόνια και φλεγμονώδης παθολογία του δέρματος που εμφανίζεται συνήθως σε βρέφη, αλλά μερικές φορές και σε εφήβους και ενήλικες, με βασικά συμπτώματα το έκζεμα, την έντονη φαγούρα και το ξηρό δέρμα.
Το ατοπικό έκζεμα εμφανίζεται συχνότερα πριν από την ηλικία των 3 μηνών και χαρακτηρίζεται από φλεγμονώδεις και φυσαλιδόμορφες αλλοιώσεις που συνοδεύονται από κνησμό.
Στη συνέχεια ορορροούν και τέλος, αρχίζουν να ξηραίνονται και να παίρνουν μια τελική μορφή λειχήνας με έντονο κνησμό.
Διάγνωση
Το εξάνθημα πρώτα εμφανίζεται στο πρόσωπο, στη συνέχεια, εξαπλώνεται στους μηρούς, στο πάνω μέρος των χεριών, ενώ εντείνεται από την επαφή με ερεθιστικές ουσίες, όπως το σαπούνι, τα απορρυπαντικά, διάφορα τραχιά υφάσματα, κάποια τρόφιμα, τη θερμότητα και τον ιδρώτα.
Καταλήγει να έχει περιόδους εξάρσεων και υφέσεων.
Θεραπεία
Η θεραπεία βασίζεται κυρίως στην καταπολέμηση της ξηρότητας του δέρματος, με καθημερινή εφαρμογή μιας ενυδατικής/μαλακτικής κρέμας, μετά τη χρήση ενός κατάλληλου ήπιου καθαριστικού χωρίς σάπωνα.
Συμπληρωματικά μπορεί να χρησιμοποιούνται ήπια αντισηπτικά, κάποιο τοπικό κορτικοστεροειδές ή κάποιο αντιισταμινικό για τη μείωση του κνησμού.
Στις περισσότερες περιπτώσεις αυτή η δερματοπάθεια εξαφανίζεται από μόνη της.
ΕΚΖΕΜΑ – ΚΝΙΔΩΣΗ
Κύρια Συμπτώματα
Η κνίδωση είναι μία από τις πιο κοινές μορφές δερματικής αλλεργίας.
Παίρνει τη μορφή κόκκινων πλακών που συνοδεύονται από κνησμό και οίδημα, που μπορεί να εξαφανιστούν σε μερικά λεπτά, ώρες ή ημέρες.
Η χρόνια κνίδωση μπορεί να διαρκέσει αρκετές εβδομάδες, μήνες ή και χρόνια.
Οι αλλεργίες σε διάφορους παράγοντες (τρόφιμα, φάρμακα, λατέξ, τσιμπήματα εντόμων κ.ά.) είναι μια αιτία της κνίδωσης, μεταξύ άλλων που μπορεί να προκληθούν από ορισμένες ιογενείς λοιμώξεις, υψηλή θερμοκρασία, επαφή με κρύο νερό, έντονο άγχος, καθημερινό στρες και έκθεση στην ηλιακή ακτινοβολία.
Διάγνωση
Παράλληλα με μια αιτιολογική έρευνα που θα κάνει ο ιατρός, η διάγνωση μπορεί να γίνει με ειδικά ανοσολογικά τεστ σε περίπτωση αλλεργίας, όπου μπορούν να εξακριβωθούν τα αίτια για μια αλλεργία εξ’ επαφής ή τροφική.
Θεραπεία
Εκτός από τον αποκλεισμό των υπεύθυνων αλλεργιογόνων, η θεραπεία περιλαμβάνει τη χορήγηση αντιισταμινών Η1 και / ή κορτικοστεροειδών.
Η απευαισθητοποίηση, όταν είναι δυνατόν, είναι η μόνη θεραπευτική οδός.
Ολίνα Ηλιάδου, MSc Clinical Pharmacologist, MBA in Pharmacy Management, MPharm
www.PharmaManage.gr